Pentingnya USG Skin untuk Treatment Injeksi Agar Lebih Presisi dan Maksimal

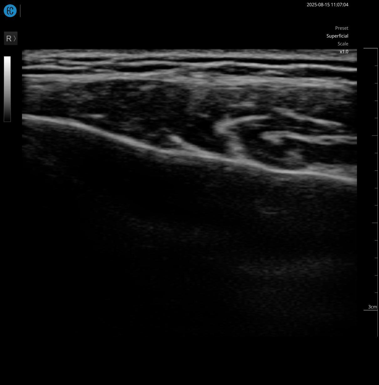
USG Skin adalah teknologi diagnostik yang digunakan untuk melihat struktur kulit wajah secara mendalam, bukan hanya di permukaan. USG Skin bukan sekadar teknologi tambahan, tetapi standar keamanan dan presisi dalam dunia aesthetic medicine modern. Di Amala Clinic, USG Skin ini tersedia dengan nama DEEP SON DIAGNOSE dan dilakukan sebagai langkah awal sebelum pasien melakukan treatment injeksi.
Treatment injeksi seperti botulinum toxin, filler, maupun skin booster bekerja di lapisan dan struktur tertentu. Tanpa pemahaman anatomi individual pasien secara mendalam, risiko hasil yang kurang optimal hingga komplikasi bisa meningkat.Tujuannya sederhana, memahami kondisi kulit lebih akurat sebelum menentukan tindakan, karena tidak ada dua wajah yang memiliki struktur anatomi yang benar-benar sama.
Apa yang Bisa Dilihat dari USG Skin (DEEP SON DIAGNOSE)?
USG Skin membantu dokter melihat secara real-time:
- Ketebalan dan kedalaman kulit (dermis)
- Struktur jaringan di bawah kulit
- Posisi pembuluh darah
- Menentukan titik injeksi yang paling aman
- Kedalaman dan arah otot wajah, seperti:
- Corrugator supercilii
- Procerus
- Frontalis
- Orbicularis oculi
- Depressor anguli oris & mentalis
- Masseter
Setiap wajah memiliki struktur yang berbeda, dan USG Skin membantu membaca perbedaan tersebut, untuk memberikan treatment yang aman, terukur, dan sesuai dengan kebutuhan unik setiap pasien.
USG Skin Cocok untuk Treatment Apa Saja?
USG Skin atau DEEP SON DIAGNOSE sangat direkomendasikan sebelum:
- Skinbooster / Collagen Stimulator, yang membutuhkan kedalaman injeksi spesifik agar bahan aktif tersebar merata dan bekerja optimal pada lapisan target
- Treatment injeksi dengan jarum kanula
- Treatment injeksi yang membutuhkan presisi tinggi, seperti contouring wajah terutama pada area dengan banyak pembuluh darah
Dengan USG Skin, tindakan injeksi dapat dilakukan pada kedalaman yang tepat serta menghindari pembuluh darah, sehingga lebih aman dan terkontrol.
Kenapa USG Skin Itu Penting?
Presisi
Setiap wajah memiliki ketebalan kulit, kedalaman otot, dan jalur pembuluh darah yang berbeda. Dengan USG Skin, setiap injeksi dapat disesuaikan secara personal berdasarkan struktur kulit dan otot wajah pasien
Better Treatment
USG Skin memungkinkan dokter merancang treatment berdasarkan kondisi nyata kulit dan jaringan di bawahnya, sehingga pemilihan teknik, kedalaman, hingga area injeksi menjadi lebih tepat. Hasilnya, treatment bekerja lebih optimal dan terlihat natural.
Safety
Membantu mengidentifikasi dan menghindari pembuluh darah penting, sehingga risiko memar, nyeri berlebih, maupun komplikasi dapat diminimalkan.
USG Skin bukan tambahan, tapi bagian penting dari prosedur injeksi yang bertanggung jawab dan medical-based. Di Amala Clinic, DEEP SON DIAGNOSE memastikan setiap treatment dimulai dengan diagnosis yang tepat, karena better diagnosis leads to better treatment.
Kalau kamu ingin treatment yang lebih presisi, aman, dan terukur, kamu bisa mencoba DEEP SON DIAGNOSE dengan melakukan appointment treatment di Amala Clinic.
Ditinjau oleh: dr. Nisrina, Tache, Sp.DVE
Amala Clinic
Jl Hang Lekir 2 No 9
Kebayoran Baru, Jakarta Selatan 12120
WA. 081110016321 || Tel. 021-7228899
Treatments
Discover the ideal treatment for you. Amala extends beyond personalized services, empowering our patients to unveil their inherent beauty, ultimately fostering confidence and radiance from within.
.jpg)



